PDC Dental Clinic: Pediatric, Orthodontic and Family dental care is one of the best dental clinics in Vadodara, Gujarat, trusted for healthy smiles, painless dentistry, and advanced dental treatments for all age groups.
Founded in 2012 (formerly Pushti Dental Clinic), we are a proud unit of SHREE PDC HEALTH CARE PVT. LTD., a leading, ISO 9001:2015 certified dental organization known for excellence, safety, and innovation.
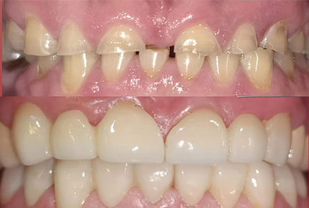
With 21,000+ Smiles Delivered, our clinic combines modern digital dentistry, experienced doctors, and world-class technology.
Evidence-based dental care delivered through advanced technology, structured protocols, and ethical clinical practice with emphasis on patient safety, precision, and long-term outcomes.
Our team includes expert pediatric dentists, orthodontists, implant specialists, root canal specialists, cosmetic dentists, and experienced family dental surgeons offering comprehensive treatment options.
We use 3D digital scanning, AI-based dental check-ups, dental X-rays, and advanced diagnostic tools for fast, precise evaluations. Ideal for preventive dental care and early detection.
Our clinic specializes in pain-free dentistry, laser dental treatments, and laughing gas sedation dentistry to ensure a stress-free experience for children and adults.
Our clinic is designed with spacious treatment rooms, advanced dental units, child-friendly spaces, and a calm, hygienic atmosphere to ensure comfort, safety, and a pleasant experience for every patient.
Our clinical sterilization workflow meets the highest international standards:
Wash & Scrub: Initial instrument cleaning
Chemical Sterilization with Blanisol-Pur:Removes bacteria & viruses
Ultrasonic Cleaning: Deep cleansing for precision tools
Thorough Drying: Prevents contamination
Separate Sterile Packaging: Maintains hygiene
Autoclaving & Sterile Storage: Hospital-level sterilization




